Stages with Photos
What Mollenol Product Should I Use?
Mollenol is a topical lotion applied to skin. Traditionally used in Western herbal medicine to relieve skin dryness, relieve minor skin eruptions, symptoms of mild eczema, skin inflammation, and as an antimicrobial and counterirritant.
Mollenol is all natural containing no mixers, stabilising additives or parabens.
Mollenol Sensitive is your first choice. Get Mollenol Patches when there are lots of bigger skin bumps that look like minor skin eruptions. All Mollenol skin treatments are compatible.
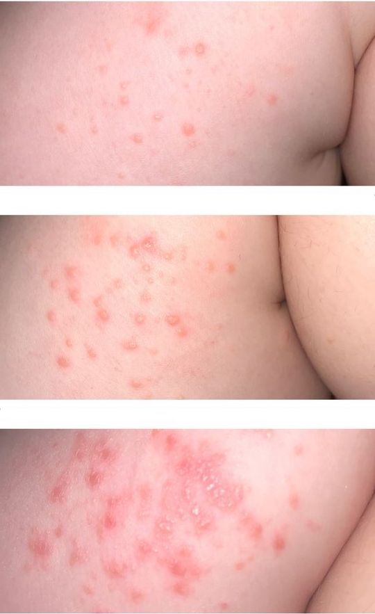
Minor skin eruptions can look like this:
Beginning Stage


Numerous tiny skin colored bumps with three bumps swelling with pus
Which Mollenol?
Apply Mollenol Sensitive to areas with beginning stage bumps. These bumps contain very little pus and Mollenol Patches are best reserved for the larger pus filled skin eruption bumps.
Developing Stage


Bumps enlarging and pus growing
Over many days and weeks the bumps develop growing to 2-5 millimetres pus filled lesions often with sometimes with exuding pus.16
Which Mollenol?
The symptoms associated with developing stage bumps are best addressed by applying Mollenol Sensitive, and using Mollenol Patches for the largest bumps. Essential Serum can be used to cleans the are and skin. After application expect to see some increased inflammation around the bumps.
Purulent Stage


Pus filled bumps (2-3mm)
These bumps need to be covered to limit the spread.
As the viral matter grows the pus increases and the skin eruption grows larger. There might be a dimple or pus may be visibly exuding.
These pus filled bumps grow and then burst or open fully exuding pus.
Not controlling pus filled bumps can lead to spread of the skin issue.
Which Mollenol?
Purulent stage minor skin eruptions are full of pus and need to be covered with a Mollenol Patch. Application of Mollenol Sensitive will help reduce symptoms. Of course, Mollenol Patches will not stick well to hairy or creased skin, for example back of knees or neck, and these bumps will need 2-4 application of Mollenol Sensitive a day. Use a quality waterproof adhensive plaster.
Spreading infection

The minor skin eruptions can grow and become widespread
The pus has exuded onto the body.
With some minor skin eruptions if left for a long time, scratched or opened can become worse. Always have issues diagnosised by a doctor.
Which Mollenol?
You can be dealing with skin eruptions across all stages of growth. Mollenol & Mollenol Sensitive and Mollenol Patches are needed.
Burst Stage


Red lesions where minor skin eruptions grew. Do not apply Mollenol lotion or Patches.
Check the body in good light for very smalls and rashes.
Finally, the bump bursts (or skin breaks) and the lesion transitions into a “wound”. Don't apply Mollenol to these burst and open lesions as it may sting. Keep clean and covered if needed.
Or keep an eye out for secondary bacterial wound infection. Piercing and scratching lesions can result in bacterial infecction. See a doctor if lesions becomes infected.
Which Mollenol?
Generally bumps which are burst, open or scabbing (as in 1 in the photo) should be left to heal without application of Mollenol lotion or Mollenol Patches.
End Rash not hives

Inflamed lesions forming a wider "rash" is the strongest response to minor skin eruptions which are clustered
Inflammation is usually a good sign that the immune system is fighting back and starting to clear the infection.
Which Mollenol?
When minor skin eruptions reach this stage only apply Mollenol lotion and Patches to bumps which are not inflamed. Essential Serum is good to have at this stage as it can be used to maintain the health of the skin while healing.
Your Mollenol Options:
-
Bulk DiscountsUS$30.00 -
Skin cleanserRollerball applicatorEssential Serum Spot Treatment
US$30.00 -
NEW PRODUCTExtra Large Hydrocolloid Patches
US$30.00 -
POPULARYour first choiceMollenol Sensitive 25ml (0.85 fl oz)
US$38.00 -
StubbornMollenol 25ml (0.85 fl oz)
US$38.00 -
SALE40% DiscountMollenol & Mollenol Sensitive Pack
US$46.00US$76.00